Сосудистая интервенционная терапия
None
Date:2020-01-19Author:From:FUDA
Рост опухоли зависит от кровеносных сосудов, который поставляет кислород и питательные вещества. Кровеносные сосуды в опухоли особенно многочисленны. Устранение этих сосудистых опухолей может ингибировать рост и распространение опухоли. Инъекция эмболических агентов и химиотерапевтических препаратов в артерии, которые доминируют в опухоли, может привести к исчезновению сосудистой эмболии. В этом процессе химиотерапевтические препараты имеют чрезвычайно высокие концентрации в опухоли, что оказывает наибольшее действие по уничтожению рака с минимальным воздействием на весь организм.
Интервенционная терапия опухолей сосудов включает Транскатетерную артериальную инфузионную химиотерапию (TAI), Транскатетерную артериальную эмболизацию (TAE) и Транскатетерную артериальную химиоэмболизацию (TACE).
Транскатетерная артериальная химиоэмболизация : Вводят химиотерапевтические препарата в кровеносную артерию опухоли через тонкий специальный катетер под руководством оборудования визуализации для увеличения концентрации лекарственного средства в опухолевой ткани и усиления противоопухолевого эффекта.
Принцип: Артериальный катетер непосредственно перфузируется химиотерапевтическими препаратами через кровеносную артерию опухоли. Химиотерапевтические препараты непосредственно воздействуют на область опухоли, увеличивая время контакта и концентрацию опухолевых клеток и химиопрепаратов. Теоретически концентрация лекарственных препаратов, действующих на опухолевые клетки, увеличивается в 10 раз и эффект от химиотерапевтических препаратов можно увеличить более чем в 100 раз. Таким образом, местные высококонцентрированные лекарственные средства могут получить значительный убивающий эффект от химиотерапевтических лекарств, уменьшая при этом системные побочные эффекты.
Показания: Различные твердые органы и кости, мягкие ткани, запущенные опухоли или рецидивы опухолей и метастазы после операции, лучевой терапии, такая как рак печени, рак легких, рак головы и шеи, рак молочной железы, холангиокарцинома, рак поджелудочной железы, рак пищевода и т. д.
Особенности: Через несколько секунд препарат попадает в опухоль, доза составляет 1/2 ~ 1/5 от внутривенной дозы.
Трансартериальная эмболизация заключается в том, чтобы вводить сосудистый эмболизирующий агент в кровеносный сосуд целевой опухолевой артерии через катетер, чтобы блокировать его для лечения опухоли.
Показания: Подходит для лечения первичного или метастатического рака печени, гемангиомы печени, рака почки, опухолей таза и т. д. А также для эмболизации и гемостаза в случаях рака носоглотки, рака легких, желудочно-кишечного тракта и опухолей таза.
Трансартериальная эмболизационная химиотерапия представляет собой комбинацию артериальной эмболизации и перфузионной химиотерапии, то есть комбинация химиотерапевтических препаратов и эмболизирующихпрепарато.
Преимущества
Сосудистая интервенционная терапия проводится под руководством и мониторингом оборудования визуализации, чтобы точно достигать поражения непосредственно без серьезной травмы, поэтому обладает преимуществами точности, безопасности, высокой эффективности, широких показаний и небольшого количества осложнений и стала предпочтительным лечением некоторых заболеваний.
①Травма маленькая
Интервенционная терапия - это минимально инвазивная технология лечения, не требующая хирургического вмешательства, без травмы или просто кожный разрез в несколько миллиметров. Единственная послеоперационная травма - это маленький ячмень длиной около 1 миллиметра. Через полчаса пациент может ходить на поле и через 8 часов вернется к предоперационному уровню. Можно сразу же вернуться к нормальной работе и жизни. Это не только улучшает качество жизни пациента, но и сводит к минимуму сложность семейного ухода.
②Видимый эффект
Артериальная лекарственная перфузионная терапия, которая непосредственно вводится в опухолевую ткань через артерию. Таким образом можно использовать большую дозу лекарственного средства и приносить хороший эффект. Сосудистая эмболизация может подавлять развитие опухоли, уменьшать ее и предоставлять пациентам возможность второй операции или даже блокировать кровоснабжение опухоли.
В прошлом первичный рак печени был известен как «король рака», по большей части потому, что когда первичный рак печени был обнаружен только у 1/5 пациентов есть шанс совершать операцию резекции, а у оставшихся 4/5 пациентов часто было только 3 - 6-месячным периодом выживания. Интервенционная терапия может эффективно контролировать развитие поражений с помощью комплексных методов лечения, таких как технология эмболизации сосудов. После появления технологии интервенционной терапии оставшиеся 4/5 пациентов значительно продлили период своего выживания.
③Меньше побочных эффектов
Препарат непосредственно воздействует на поражение, что не только значительно увеличивает концентрацию лекарства в очаге поражения и повышает его эффективность, но и значительно уменьшает количество лекарства. Большинство лекарств для химиотерапии поглощаются опухолевой тканью, и существует относительно небольшое количество лекарств от опухолей, которые попадают в кровь организма.После детоксикации и метаболизма печени химиотерапевтические препараты, которые находятся в контакте с нормальной тканью, относительно меньше, уменьшая системные побочные эффекты препарата. Среди них терапия артериальной эмболизации относится к физиотерапии, без токсических и побочных эффектов и можно повторится без ущерба для качества жизни.
④Высокая безопастность
Большинству пациентов требуется только местная анестезия вместо общей анестезии, что снижает риск анестезии.
⑤ Расход низкий
Повреждение нормальной ткани небольшое, выздоровление быстрое, время госпитализации короткое, что значительно снижает стоимость госпитализации.
⑥ Высокая точность
Под точным руководством медицинского оборудования визуализации, может быть достигнуто точное позиционирование. В нашей больнице есть комплексное отделение DSA + MDCT, благодаря двойному руководству лечение становится более точным и полным, а повреждение нормальных тканей сводится к минимуму.
⑦Подходит тем, кто не может терпеть хирургическую операцию
Вмешательство также можно хорошо лечить для пожилых критически больных пациентов, которые не переносят хирургическую операцию, или пациентов, у которых нет шансов на хирургическую операцию.Подходит для лечения различных опухолей, а также может использоваться в сочетании с другими методами лечения опухолей.
Клинические случая:


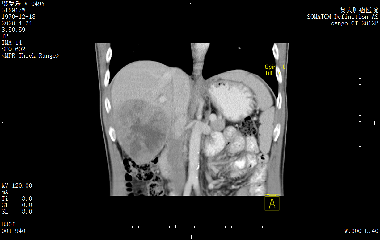
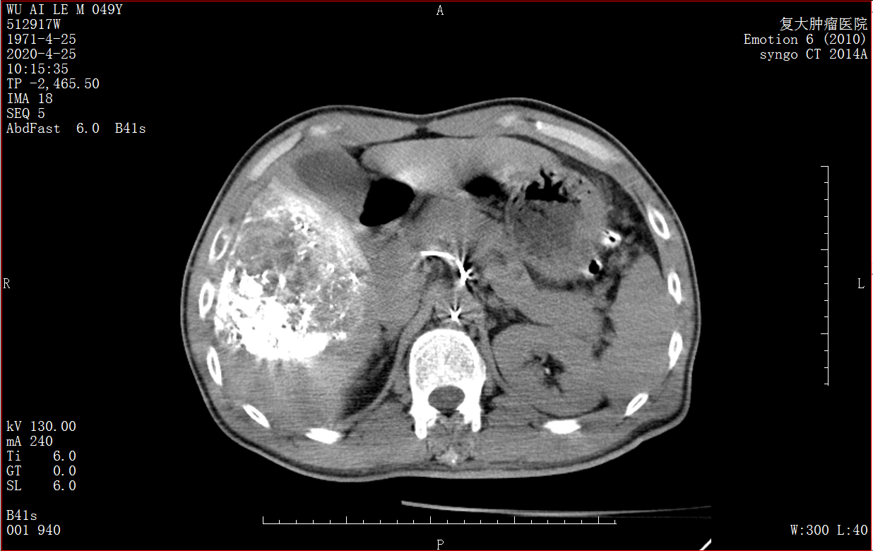
Снимок КТ печени до операции

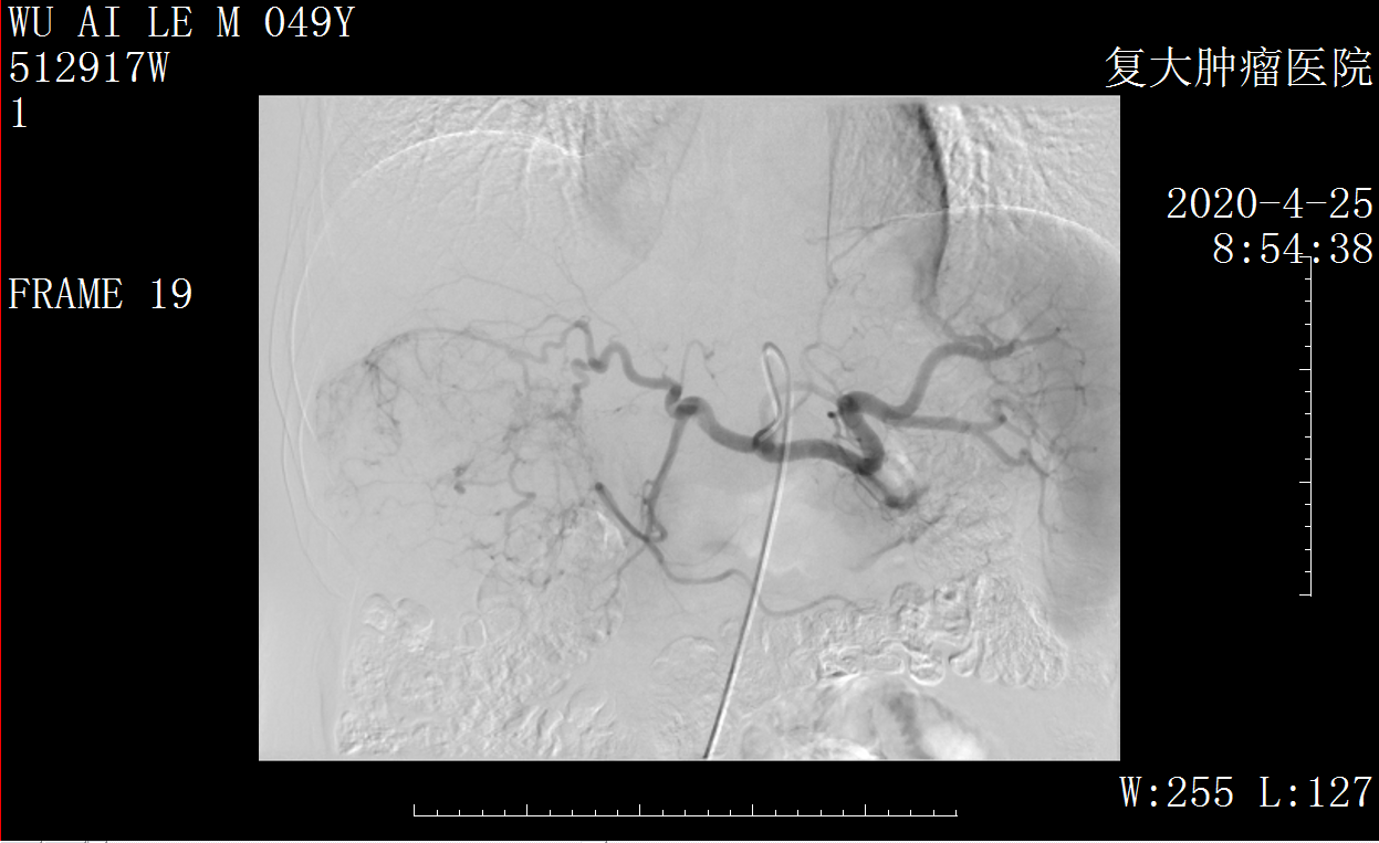
Снимок аппарата DSA в операции
MDCT с контрастным веществом работает в операции для найти лучшее место эмболии

MDCT показала лучшее место эмболии, контрастное вещество только действует для опухолей.

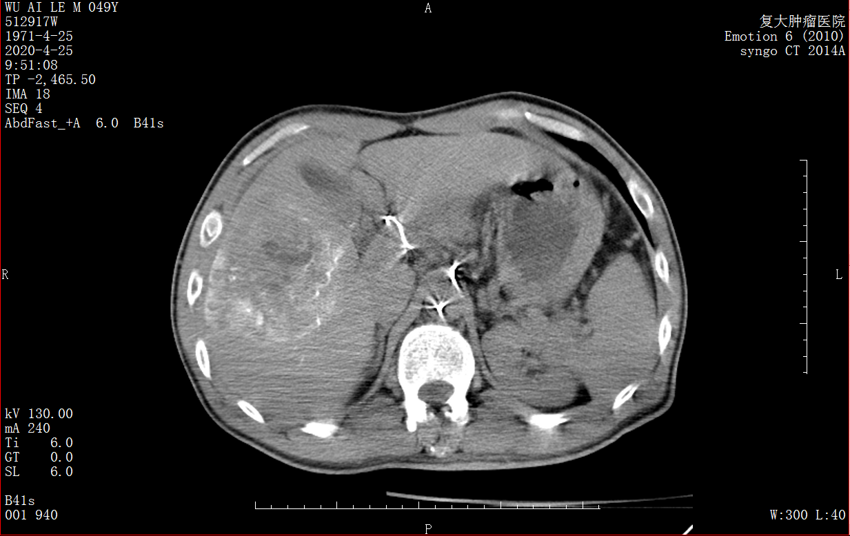
Снимок MDCT после операции показал, что эмболирующий препарат находится в опухоли печени и все опухоли полностью вылечены, а нормальная ткань печени не эмболизирована, что указывает на отсутствие повреждения нормальной ткани печени.
-
There is no records.
- Интервью с противораковым воином в Фуда, расс..
- Трогание идийского офицера:теплая история без..
- Он, страдающий злокачественной опухолью печен..
- Микроволновая гипертермическая абляция сжигае..
- Больного раком из Гонконга удивило то, что ме..
- Чтобы выполнить последнее желание отца, они у..
- Вдохновляющая история малайзийской певицы Лин..





