Интервенционная эмболизация микросферы
None
Date:2020-01-19Author:From:FUDA
В настоящее время наиболее совершенной интервенционной терапией является лечение микросферами, выделяющими лекарственное средство (торговое название «HepaSphere»).HepaSphere хранится в виде порошка, и его диаметр может быстро расширяться до 200 микрон после поглощения химиотерапевтических препаратов.Свойство HepaSphere очень стабильно, поэтому частицы могут оставаться в пределах опухоли в течение длительного времени. Напротив, традиционный йодированныйагент для эмболизации спиралью непрерывно разрушается из-за воздействия кровотока и течет в окружающие нормальные ткани,блокируя микрососудистую внутренность, что часто приводит к нарушению функции нормальной ткани.Кроме того, водорастворимые химиотерапевтические препараты отделяются от йодированного масла быстро, что означает плохой эффект замедленного высвобождения и лечения.
После того, как сосуд, питающий опухоль, будет блокирован микросферой, выделяющей лекарственное средство, питаниеопухоли прервется, и затем опухоль потеряет потенциал дальнейшего роста.После этого под действием осмотического давления начинают выделяться химиотерапевтические препараты, находящиеся в микросферах.Окружающие опухолевые клетки подвергнуться апоптозу и некрозу через несколько дней после абсорбции препаратов.Время высвобождения лекарственного средства из микросфер будет продолжаться в течение двух недель.

1.Сухое состояние перед поглощением препаратов

2.После полного поглощения препаратов

3.Хорошо видимые мелкие частицы лекарственных микросфер
Лекарственные микросферы после полного поглощения препаратов
Хорошо видимые мелкие частицы лекарственных микросфер внедряют большое количество микрочастиц, содержащих лекарственное средство, в опухолевую ткань.


По сравнению с другими микросферами эмболии

Между другими микросферами эмболии остаточные щели
Лекарственные микросферы HepaSphere изменят свою форму в соответствии с формой кровеносных сосудов, прочно свяжут микрососуды опухоли, прекратят снабжение кислородом и питательными веществами и медленно высвобождают лекарство локально в течение длительного времени.

1 день после применения лекарственных микросфер HepaSphere

7 дней после применения

14 дней после применения
По радиоиммуноанализу видно, что препарат продолжает высвобождаться после попадания лекарственных микросфер в организм. Время контакта с опухолевыми клетками значительно увеличивается, что может достигать эффекта полного уничтожения опухолевых клеток.
Как лекарственные микросферы HepaSphere действуют в теле?
Во-первых, врач использует большое цифровое вычитающое оборудование, чтобы точно вставить катетер в кровеносный сосуд целевой опухоли.

Во-вторых, через вставленный катетер лекарственные микросферы , несущие препараты, направляются в кровеносные сосуды опухоли.

В-третьих, заблокированная опухоль постепенно умрет из-за ишемии.

В-четвертых, препараты, несшие лекарственными микросферами, высвобождается в кровеносном сосуде опухоли в течение 2 недель, что полностью и эффективно связывается с опухолевыми клетками и убивает опухолевые клетки.

В итоге, при недостатках кислорода и кровоснабжения длительное воздействие химиотерапевтических средств может вызвать некроз опухоли.

Показания
Все внутрипеченочные опухоли
Все опухоли молочной железы, включая метастазы в подмышечные лимфатические узлы
Солидные опухоли головы и шеи с обильными кровеносными сосудами
Опухоль таза с обильными кровеносными сосудами
Опухоли почек и надпочечников
Больший центральный рак легких с обильными кровеносными сосудами справа или слева, где опухоль диаметром больше 3см.
Типичные случая заболеваний
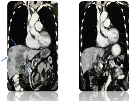
Метастаз печени из средостенного плоскоклеточного рака легкого
Перед лечением VS после лечения

Рак молочной железы слева
Фото результата Цифровой вычитающой ангиографии при лечении
Фота результатов КТ Перед лечением VS после лечения

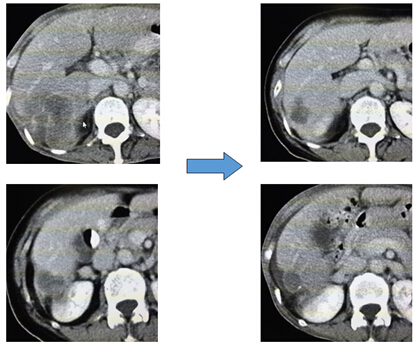
Первичный рак печени
Фота результатов КТ Перед лечением VS после лечения

Рак правого легкого
Фото результата Цифровой вычитающой ангиографии при лечении
Фота результатов КТ Перед лечением VS после лечения

Рак левой молочной железы и метастаз в подмышечных лимфатических узлах
Фота результатов КТ Перед лечением VS после лечения

Метастатический рак печени
Фота результатов КТ Перед лечением VS после лечения

-
There is no records.
- Интервью с противораковым воином в Фуда, расс..
- Трогание идийского офицера:теплая история без..
- Он, страдающий злокачественной опухолью печен..
- Микроволновая гипертермическая абляция сжигае..
- Больного раком из Гонконга удивило то, что ме..
- Чтобы выполнить последнее желание отца, они у..
- Вдохновляющая история малайзийской певицы Лин..





